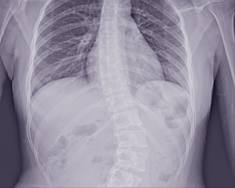
Scoliosis
Scoliosis is a sideways curvature of the spine that can cause uneven posture, back pain, and limited mobility. Whether mild or more severe, early detection and targeted treatment can help manage symptoms and prevent progression. Our experienced team offers posture correction, manual therapy, and tailored exercise programs to support spinal alignment and improve quality of life.